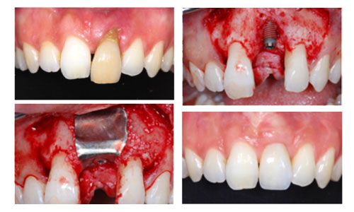
Membrane in Titanio – Regenplate GBR
Strategie Rigenerative Semplificate con Membrane in Titanio
Corso TEORICO – PRATICO con Parte PRATICA su modello animale
Quando: 30 Novembre – 1 Dicembre 2018
Costo: 498€ + IVA
Crediti: 15 Crediti ECM
Docenti: Dott. Francesco Ferrarotti, Dott. Fabio Perret
Disponibilità: 20 posti
Dove: SL Dental Training (C.so Massimo D’Azeglio 112/bis, Torino)
Per le iscrizioni effettuate entro e non oltre il 30/09/2018 verrà inviata via posta la membrana OMAGGIO Regenplate SMALL 50 micron ed alcuni video tutorial per iniziare a familiarizzare con la metodica.

Scarica la Brochure in PDF col programma completo degli incontri
Relatori
Sorry no post found.